Best Case of the AIRP
Watch every issue as we highlight a new best case of the AIRP.
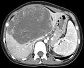
Undifferentiated Embryonal Sarcoma Submitted by Garrett Woodbury, University of Florida
Case history
27-year-old woman with right upper quadrant and epigastric pain with fullness in her upper abdomen.
Learn more about this case »
View other best cases of the AIRP »

