New Best Case Winners Announced
Best Case Winners — March–April 2018 Rad-Path Course
The AIRP is pleased to announce the best case winners from the March/April 2018 Rad-Path Course. Congratulations to all of our winners!
View all cases »
|
Musculoskeletal — Clear Cell Chondrosarcoma Joel Lim, MD |
|
![]() |
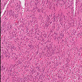
Musculoskeletal Honorable Mention — Schwannomatosis – Plexiform Schwannoma Sohaib Munir, MD |
|
![]() |
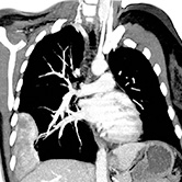
Pulmonary and Mediastinal — Pleuropulmonary Desmoid Tumor Abraão Kupske, MD |
|
![]() |
Cardiovascular — Leiomyosarcoma of the IVC Simon Clifford, MD |
|
![]() |
Pediatric — Ciliated Foregut Cyst Thomas Beck |
|
![]() |
Breast — Angiosarcoma Sebastien Moliere |
|
![]() |
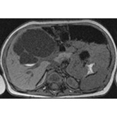
Genitourinary — Adrenal Cortical Neoplasm arising from Ectopic Adrenal Tissue Jamie Crist, MD |
|
![]() |
Neuroradiology — Cerebral Aspergillosis Jacob Wallace, MD |
|
![]() |
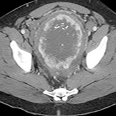
Gastrointestinal — Adenocarcinoma complicating a retrorectal cystic hamartoma
Ravi Vassa, MD |









